八重歯・乱ぐい歯・ガタガタ(叢生)
- 矯正歯科室 カーツー
- 2023年11月15日
- 読了時間: 1分
更新日:2025年11月6日
治療開始年齢 : 非抜歯ワイヤー矯正 18歳
治療期間 : 2年6ヶ月
費用 : 60万+毎月の処置料
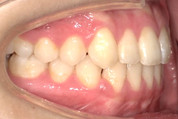
診断名 : 叢生(歯の凸凹) 右側の八重歯・前歯前突
治療内容:上下歯列の拡大・上下奥歯後ろに移動
リスクと副作用:痛み、歯根吸収、歯肉退縮、虫歯、後戻り
治療開始年齢 : 非抜歯ワイヤー矯正 10歳
治療期間 : 2年
費用 : 60万+毎月の処置料
診断名 : 叢生(歯の凸凹) 両側の八重歯
治療内容:上下歯列の拡大後にワイヤーにて治療
リスクと副作用:痛み、歯根吸収、歯肉退縮、虫歯、後戻り






































