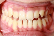
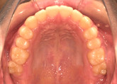
症例:顎のズレ
- 矯正歯科室 カーツー
- 2023年11月15日
- 読了時間: 1分
更新日:11月6日
治療開始年齢 : ワイヤー矯正 13歳
治療期間 : 10ヶ月
費用 : 60万+毎月の処置料
診断名 : 下顎前突 ・下顎右側後方偏位
治療内容:上下レベリング→顎間ゴムにて偏位を修正
リスクと副作用:痛み、歯根吸収、歯肉退縮、虫歯、後戻り
治療開始年齢 : 床矯正 8歳(1期治療のみ)
治療期間 : 18ヶ月
費用 : 30万+毎月の処置料
診断名 : 叢生・下顎右側後方偏位
治療内容:上下拡大床(上顎多めにかくだ)→前歯のレベリング
リスクと副作用:痛み、歯根吸収、歯肉退縮、虫歯、後戻り






































